肺纤维化是由多种原因引起的急慢性间质性 肺疾病,主要病因为气虚阴虚、肺肾亏虚、痰瘀 互阻肺络。近年来,肺间质纤维化发病率有增高 趋势,传统的糖皮质激素和细胞毒药物疗效不佳。 虫草多糖是发酵虫草菌粉中最主要的生物活性物 质,虫草发酵过程中产生的废液(滤液)中还含有较 丰富的虫草多糖。根据文献报道,其具有抗氧化、 抗肿瘤、增强免疫等作用,也有抗大鼠肝纤维 化作用,但抗肺纤维化作用的报道尚不多见。本 实验研究从虫草发酵废液中提取得到的虫草多糖 抗小鼠肺纤维化作用,为虫草发酵废液的合理应用 和抗肺纤维化药物的研发提供一定的实验依据。
虫草菌粉和虫草多糖各提取物均由杭州中美华东制药有限公司 101 车间提供(批号分别为 ZYZJ001,HD101001)。虫草多糖从虫草发酵过程 产生的废液中提取得到,总多糖含量高达 64%。 提取得到的虫草总多糖经过分离后得到相对分子 量(molecular mass,MW)<2×105 的虫草多糖和 MW>2×105 的虫草多糖。虫草菌粉为百令胶囊的 原料。 注射用盐酸平阳霉素(天津太河制药有限公 司,批号:171201);小鼠白介素 1 受体抑制剂 (interleukin-1 receptor antagonist,IL-1RA)测定试 剂盒(武汉博士德生物工程有限公司,批号: 11013651114);羟脯氨酸(hydroxyproline,Hyp)测 试剂盒 ( 南京建成生物工程研究所,批号: 20170818);丽春红、磷钼酸(批号:F20070904, F20090116)均购自国药集团化学试剂有限公司;酸性品红 ( 上海三爱思试剂有限公司,批号: 20061109);水溶苯胺蓝(中国上海标本模型厂,批 号:20070930);二甲苯(衢州巨化试剂有限公司, 批号:20161101);无水乙醇(安徽安特生物化学有 限公司,批号:1609113601)。
电子天平(德平赛多利斯); Tissuelyser2 组织破碎机(德国 Retsch 公司); Sunrise-basic 光吸收酶标仪(瑞士 Tecan 集团公司); Allegra 64R 离心机(贝克曼库尔特公司产品); XW-80A 漩涡混合器(上海医大仪器厂);JHS-080 型精密恒温恒湿箱(上海精宏实验设备有限公司); YD-335 电脑切片机、YD-A 智能型生物组织摊片 机均购自浙江省金华市益迪医疗设备厂;420 型数 码照相机(奥林巴斯);BA310 生物显微镜(麦克奥迪实业集团有限公司)。
ICR 小鼠 72 只,♀♂各半,体质量 20~23 g, 由浙江省实验动物中心提供,动物生产许可证号: SCXK(浙)2014-0001,合格证号:1801110028。分 为 6 组:空白组、模型组、虫草菌粉组(阳性对照)、 虫草总多糖组、虫草多糖(MW<2×105 )组和虫草多 糖(MW>2×105 )组,每组 12 只。
除空白组外, 其余小鼠均造模。4%水合氯醛(0.01 mL·g1 )腹腔 注射麻醉小鼠,固定,分离气管,趁其吸气瞬间 迅速注射药物。其中造模动物注射平阳霉素,剂 量为 5.5 μg·g1 ,空白组注射等量的生理盐水,注 射完立即 360°水平旋转小鼠,使药液在肺内均匀分布。
造模 1 周后,将造模动物随机 分组并开始给药,各给药组均按 500 mg·kg1 灌胃 给药(药物均用纯净水溶解),每天 1 次,连续 3 周。 空白组给予等量的纯净水。
末次给药后,次日眼眶 取血,然后立即脱颈椎处死小鼠,开胸腔取肺组 织,一部分肺做消化,使用试剂盒测定 Hyp 含量。 部分肺组织通过支气管注入 Bouin 液后并放入 Bouin 液中固定。血液离心 3 000 r·min1 10 min 得 上清液血清,采用酶联免疫吸附法测定 IL-1RA 含量。
肺组织在 Bouin 液中固定 24 h 后梯度乙醇脱水,二甲苯透明,浸蜡,石蜡包埋,常规切片,行Masson 染色,观察胶原沉 积,使用 Motic Med 6.0 数码医学图像分析系统检 测肺纤维化面积。
采用 SPSS 16.5 统计软件进 行单因素方差分析,实验数据以 x  s 表示,两两 比较采用 LSD-t 检验,以 P<0.05 为差异具有统计 学意义。
与空白组相比,造模后的小鼠体质量显著降 低,小鼠肺纤维化模型组血清中 IL-1RA 水平明显 降低,肺组织中 Hyp 含量明显升高(P<0.01)。与肺 纤维化模型组相比,虫草菌粉组、虫草总多糖组、 虫草多糖(MW<2×105 )组的血清中 IL-1RA 水平均 明显升高(P<0.05,P<0.01),肺组织中 Hyp 的含量 均明显降低(P<0.05,P<0.01)。结果见图 1。

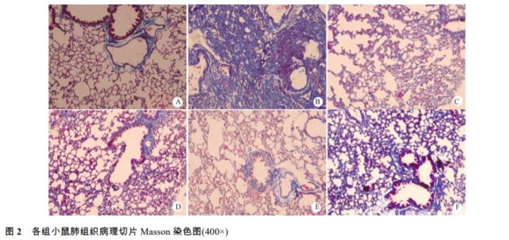
与空白组相比,模型组小鼠肺纤维化面积明 显增大(P<0.01)。与模型组相比,虫草总多糖组、 虫草多糖(MW<2×105 )组的肺纤维化面积明显减 小(P<0.05,P<0.01),结果见表 1。各组小鼠肺组 织病理切片 Masson 染色图见图 2,肺纤维化模型 组小鼠的整个肺泡组织胶原纤维呈弥散性分布, 而虫草菌粉组、虫草总多糖组、虫草多糖 (MW<2×105 )组的小鼠肺泡组织胶原纤维呈零星 的散在分布,特别是虫草多糖(MW<2×105 )组的小 鼠肺组织染色趋近空白组。
   
本研究采用在小鼠气管内一次性注射平阳霉 素的方法制作肺间质纤维化动物模型。该方法具 有可靠性高、给药剂量小、给药次数少、造模时 间短等优点。在肺间质性病变过程中,早期是肺 泡炎及大量炎性细胞浸润,后期是肺纤维化,大 量间质细胞增生及胶原蛋白沉积。 单核巨噬细胞是 IL-1 的主要产生细胞,在肺 纤维化的发病过程中,IL-1 既可介导肺泡炎期的 损伤,又可促进间质损伤修复乃至过度修复引起 间质纤维化。由单核巨噬细胞和上皮细胞产生的 IL-1RA,可竞争性地与 IL-1R 结合从而阻断 IL-1 的活性。IL-1RA是重要的内源性炎症调节因子,能抑制中性粒细胞泡内积聚,阻断 IL-1 引起的前 列腺素 E2 释放,提高血清中糖皮质激素的浓度。 IL-1RA 以很高的亲和力与 IL-1α、IL-1β 竞争性结 合IL-1R,但因为它缺乏IL-1R辅助蛋白(IL-1R-ACP) 结合的区域,故不具有进一步激发信息传导的功 能。IL-1RA 与具有信号传导功能的 IL-1R 结合, 从而抑制 IL-1α、IL-1β 的活性,达到减轻纤维化 的作用。本文的研究结果显示虫草菌粉组、虫草 总多糖、虫草多糖(MW<2×105 )组可显著升高模型 小鼠血清中 IL-1RA 水平,具有一定程度的抗纤维化作用。